
Báo cáo ca lâm sàng và tổng quan Y văn: Nhồi máu cơ tim cấp khởi phát bằng đau vùng hàm
Tóm tắt
Nhồi máu cơ tim cấp thường biểu hiện bằng đau ngực điển hình. Tuy nhiên, một tỷ lệ đáng kể bệnh nhân có thể khởi phát bằng các triệu chứng không điển hình, gây khó khăn cho chẩn đoán và có thể dẫn đến chậm trễ trong điều trị tái tưới máu. Đau vùng đầu - cổ - mặt, đặc biệt là đau vùng hàm, là một biểu hiện hiếm nhưng đã được ghi nhận của thiếu máu cơ tim. Chúng tôi báo cáo trường hợp bệnh nhân nữ 57 tuổi nhập viện vì đau vùng góc hàm kèm đau đầu, ban đầu được chẩn đoán bệnh lý răng hàm mặt và điều trị nội khoa. Sau đó bệnh nhân xuất hiện khó thở và cảm giác nặng ngực, được đưa đến khoa cấp cứu. Các thăm dò cận lâm sàng cho thấy nhồi máu cơ tim cấp. Chụp mạch vành cấp cứu phát hiện tổn thương bán tắc nhánh động mạch liên thất trước và bệnh nhân được can thiệp đặt stent tái thông thành công. Sau thủ thuật, các triệu chứng đau hàm và khó chịu ngực biến mất hoàn toàn. Trường hợp này nhấn mạnh tầm quan trọng của việc nhận diện các biểu hiện không điển hình của nhồi máu cơ tim nhằm tránh chậm trễ trong chẩn đoán và điều trị.
Learning points
Đau vùng hàm hoặc vùng đầu - cổ - mặt có thể là biểu hiện duy nhất của thiếu máu cơ tim hoặc nhồi máu cơ tim cấp.
Khoảng một phần tư bệnh nhân nhồi máu cơ tim có thể đến viện mà không có đau ngực điển hình.
Các biểu hiện không điển hình thường gặp hơn ở phụ nữ, người cao tuổi và bệnh nhân đái tháo đường.
Đau vùng hàm không rõ nguyên nhân kèm khó thở hoặc mệt ngực cần được đánh giá theo hướng bệnh lý tim mạch bằng điện tâm đồ và xét nghiệm men tim.
Giới thiệu
Nhồi máu cơ tim cấp là một trong những nguyên nhân tử vong hàng đầu trên thế giới. Triệu chứng kinh điển của bệnh là đau ngực sau xương ức với tính chất đè nặng, bóp nghẹt, có thể lan lên cổ, vai hoặc cánh tay trái. Các nghiên cứu lâm sàng cho thấy đau ngực là triệu chứng thường gặp nhất, chiếm khoảng 92% các trường hợp hội chứng vành cấp.
Tuy nhiên, không phải tất cả bệnh nhân đều có biểu hiện điển hình. Các nghiên cứu dịch tễ cho thấy khoảng 26% bệnh nhân nhồi máu cơ tim có thể đến viện mà không có đau ngực điển hình, và tỷ lệ biểu hiện không điển hình của nhồi máu cơ tim có thể lên đến khoảng 34%.
Trong nhóm biểu hiện không điển hình, đau vùng đầu - cổ - mặt (craniofacial pain) là một biểu hiện ít được chú ý nhưng có ý nghĩa lâm sàng quan trọng. Một nghiên cứu đa trung tâm cho thấy đau đầu - cổ - mặt có thể là triệu chứng duy nhất của nhồi máu cơ tim trong khoảng 6% trường hợp.
Các biểu hiện không điển hình thường gặp hơn ở phụ nữ, người cao tuổi và bệnh nhân đái tháo đường, và có thể dẫn đến chậm trễ trong chẩn đoán và điều trị, làm tăng nguy cơ biến chứng và tử vong.
Trong một tổng quan hệ thống phân tích 52 báo cáo ca bệnh với tổng cộng 56 bệnh nhân nhồi máu cơ tim có biểu hiện không điển hình, tuổi trung bình của bệnh nhân là 55,1 ± 16,7 tuổi, và 64% trường hợp là nam giới.
Chúng tôi báo cáo một trường hợp nhồi máu cơ tim cấp biểu hiện chủ yếu bằng đau vùng hàm, ban đầu được chẩn đoán nhầm là bệnh lý răng hàm mặt, nhằm nhấn mạnh tầm quan trọng của việc nhận diện các biểu hiện không điển hình của hội chứng vành cấp.
Trình bày ca bệnh
Bệnh nhân nữ, 57 tuổi, nhập viện vì đau vùng hàm kèm khó thở. Ba ngày trước khi nhập viện, bệnh nhân xuất hiện cảm giác đau và cứng vùng góc hàm kèm đau đầu, không có đau ngực. Bệnh nhân đến khám tại cơ sở y tế và được thăm khám tại chuyên khoa Răng Hàm Mặt, chẩn đoán sâu răng và điều trị bằng thuốc giảm đau và kháng sinh.
Sau khi về nhà, bệnh nhân vẫn còn các cơn đau vùng hàm tái phát nhiều lần. Sau đó bệnh nhân bắt đầu xuất hiện khó thở và cảm giác nặng ngực kèm mệt mỏi, nên được đưa đến khoa Cấp cứu. Điện tâm đồ tại ban đầu ghi nhận các thay đổi gợi ý thiếu máu cơ tim cấp. Siêu âm tim cho thấy rối loạn vận động vùng thành trước thất trái. Xét nghiệm men tim tăng cao, phù hợp với chẩn đoán nhồi máu cơ tim cấp.
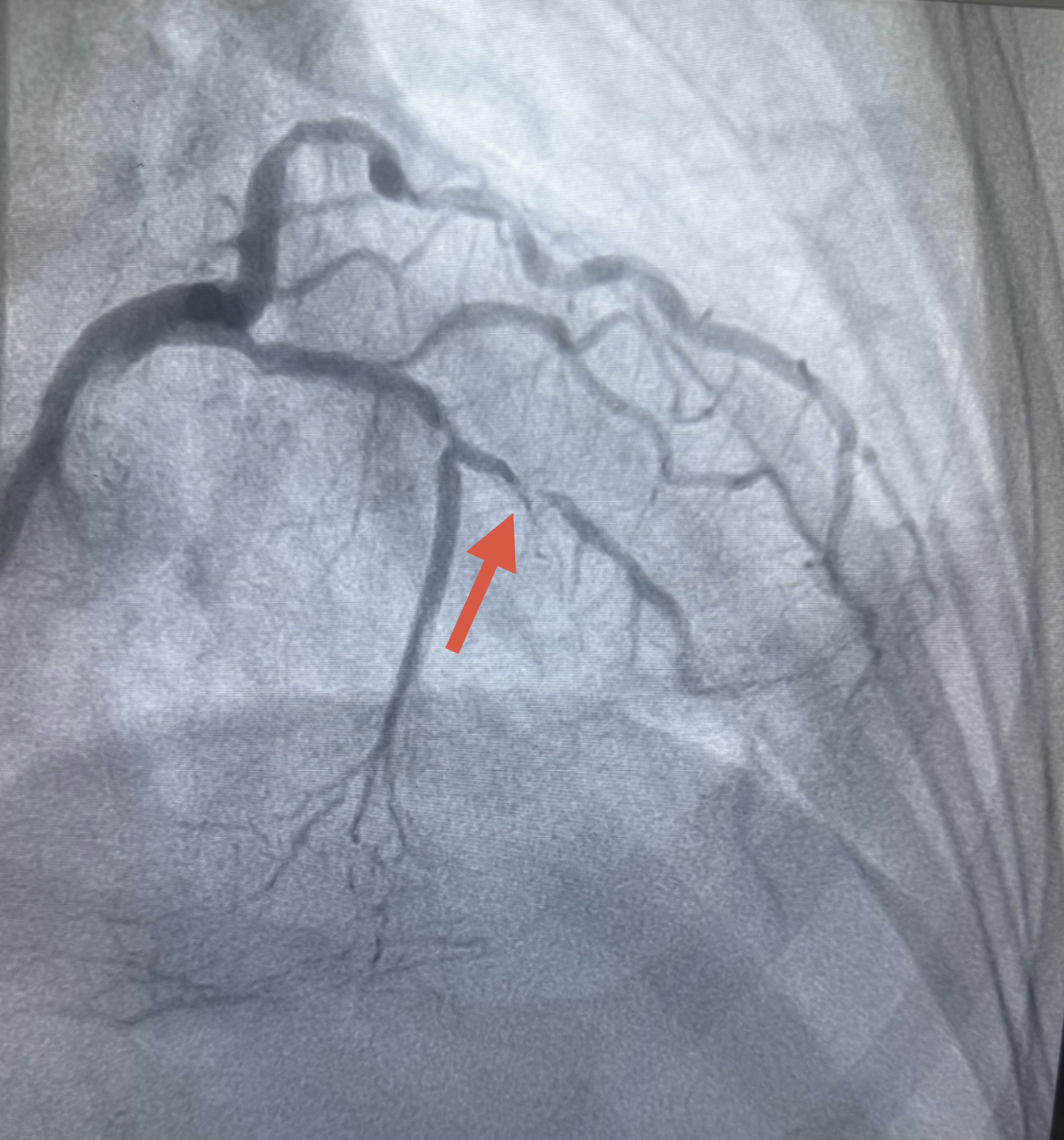
Bệnh nhân được chỉ định chụp mạch vành cấp cứu, kết quả cho thấy tổn thương bán tắc nhánh động mạch liên thất trước (LAD). Sau đó bệnh nhân được can thiệp mạch vành qua da đặt stent, tái thông dòng chảy mạch vành thành công. Sau thủ thuật, tình trạng lâm sàng cải thiện rõ rệt. Bệnh nhân hết đau đầu, hết cảm giác nặng ngực và hết đau vùng hàm, huyết động ổn định.



Bàn luận
Các biểu hiện không điển hình của nhồi máu cơ tim đã được ghi nhận trong nhiều nghiên cứu. Trong phân tích tổng hợp các báo cáo ca bệnh về nhồi máu cơ tim không điển hình, các triệu chứng thường gặp nhất bao gồm khó chịu đường tiêu hóa (21,4%), đau ngực không điển hình (17,9%), ngất (12,5%) và khó thở (12,5%).
Các triệu chứng liên quan vùng đầu - cổ cũng được ghi nhận với tần suất đáng kể. Trong phân tích này, đau họng chiếm khoảng 10,7% và đau tai khoảng 8,9% trong các biểu hiện không điển hình của nhồi máu cơ tim. Ngoài ra, phần lớn bệnh nhân có ít nhất một yếu tố nguy cơ tim mạch. Các bệnh đồng mắc thường gặp nhất bao gồm đái tháo đường (30,3%), tăng huyết áp (25%) và rối loạn lipid máu (21,4%).
Đáng chú ý, khoảng 86% bệnh nhân trong các báo cáo ca bệnh có ít nhất một bệnh đồng mắc, và nhiều bệnh nhân có từ hai đến ba yếu tố nguy cơ tim mạch. Cơ chế của đau vùng hàm trong nhồi máu cơ tim được giải thích bởi hiện tượng đau quy chiếu (referred pain). Các sợi thần kinh cảm giác từ cơ tim thiếu máu đi vào tủy sống và hội tụ với các sợi thần kinh cảm giác của vùng cổ và hàm. Theo thuyết hội tụ - quy chiếu, hệ thần kinh trung ương có thể nhầm lẫn nguồn gốc kích thích đau và cảm nhận đau tại các vùng ngoài lồng ngực như hàm, cổ hoặc tai.
Trường hợp của chúng tôi minh họa rõ ràng thách thức này trong thực hành lâm sàng. Bệnh nhân ban đầu được chẩn đoán bệnh lý răng hàm mặt do triệu chứng đau góc hàm, và chỉ được phát hiện nhồi máu cơ tim sau khi xuất hiện thêm các triệu chứng tim mạch.
Các nghiên cứu cũng cho thấy khoảng 33% bệnh nhân hội chứng vành cấp có thể biểu hiện bằng các triệu chứng gây nhầm lẫn cho bác sĩ lâm sàng, đặc biệt trong bối cảnh cấp cứu. Do đó, ở những bệnh nhân trên 50 tuổi có yếu tố nguy cơ tim mạch và xuất hiện các triệu chứng như đau vùng đầu – cổ – hàm, khó thở, chóng mặt hoặc mệt mỏi, cần duy trì mức độ nghi ngờ cao đối với hội chứng vành cấp và tiến hành đánh giá tim mạch sớm.
Kết luận
Đau vùng hàm là một biểu hiện hiếm nhưng quan trọng của nhồi máu cơ tim. Trong một số trường hợp, đây có thể là triệu chứng duy nhất của bệnh. Việc nhận diện các biểu hiện không điển hình này có ý nghĩa quan trọng trong chẩn đoán và điều trị kịp thời, giúp giảm nguy cơ biến chứng và tử vong. Tài liệu tham khảo
Tài liệu tham khảo
Khan IA, Karim HMR, Panda CK, et al. Atypical presentations of myocardial infarction: a systematic review of case reports. Cureus. 2023;15:e35492.
Kreiner M, Okeson JP, Michelis V, Lujambio M, Isberg A. Craniofacial pain as the sole symptom of cardiac ischemia: a prospective multicenter study. J Am Dent Assoc. 2007;138:74-79.
Canto JG, Shlipak MG, Rogers WJ, et al. Prevalence, clinical characteristics, and mortality among patients with myocardial infarction presenting without chest pain. JAMA. 2000;283:3223-3229.
Brieger D, Eagle KA, Goodman SG, et al. Acute coronary syndromes without chest pain: an underdiagnosed and undertreated high-risk group.Chest. 2004;126:461-469.
Ahmed EK, Alkodaymi MS, Soliman MM, Shujaa AS. ST-elevation myocardial infarction due to left anterior descending artery occlusion presenting with otalgia.Am J Case Rep. 2017;18:1044-1047..

















