Ca lâm sàng: 86 ngày hồi sức tích cực cho chàng trai 18 tuổi ngưng tim khi đang chơi thể thao
Trong hồi sức tích cực, có những ca bệnh mà mỗi ngày trôi qua đều là một cuộc giằng co quyết liệt giữa sự sống và nguy cơ mất mát. Trường hợp của chàng trai 18 tuổi này là một hành trình như thế.
ThS.BS.CK1 Nguyễn Hữu TínT
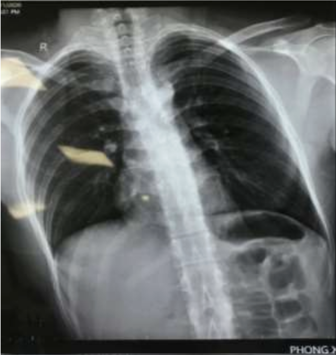
Báo cáo ca bệnh lâm sàng: Tổn thương phổi cấp liên quan tới truyền máu được chẩn đoán sớm và điều trị thành công tại Khoa Hồi sức tích cực, Bệnh viện Trung ương Quân đội 108
Transfusion related acute lung injury (TRALI): A case of early diagnosis and successful management in ICU of 108 Military Central Hospital
Nguồn: TẠP CHÍ Y DƯỢC LÂM SÀNG 108 - Tập 16 - Số 2/2021N
Báo cáo ca lâm sàng: Phẫu thuật bệnh nhân vết thương thấu phổi và thấu tim do tự đâm kết hợp bỏng thực quản do chất tẩy rửa
Phẫu thuật bệnh nhân vết thương thấu phổi và thấu tim do tự đâm kết hợp bỏng thực quản do chất tẩy rửa














