
Báo cáo ca bệnh lâm sàng: Tổn thương phổi cấp liên quan tới truyền máu được chẩn đoán sớm và điều trị thành công tại Khoa Hồi sức tích cực, Bệnh viện Trung ương Quân đội 108
Nguyễn Tài Thu, Ngô Đình Trung, Nguyễn Thái Cường, Nguyễn Văn Nam, Hà Mạnh Hùng, Nguyễn Thanh Tuấn, Nguyễn Thị Nga, Nguyễn Thanh Bình
Tóm tắt
Tổn thương phổi cấp do truyền máu (TRALI) là một biến chứng nguy hiểm trong truyền máu, do hiếm gặp nên thường bị bỏ sót trong thực hành lâm sàng. Chẩn đoán TRALI chủ yếu dựa vào loại trừ các nguyên nhân gây tổn thương phổi cấp khác. Bệnh cảnh lâm sàng là suy hô hấp tiến triển nhanh sau truyền máu mà không phải nguyên nhân do nhiễm trùng hay do suy tim. Điều trị TRALI bao gồm: Đảm bảo hô hấp, hỗ trợ huyết động, corticosteroid và bảo vệ cơ thể tránh khỏi tình trạng suy đa tạng có thể xảy ra.
Từ khóa: Tổn thương phổi cấp, truyền máu.
Summary
Transfusion related acute lung injury (TRALI) is a rare, fatal complication which is often overlooked in clinical practice. The diagnosis is primarily based on exclusion of other causes of acute lung damage. The clinical scenario is acute respiratory failure following blood transfusion, not caused by infection or heart failure. Treating TRALI includes: Mechanical ventilation, hemodynamic support, corticosteroids, and protection patient from possible multi-organ failure.
Keywords: Acute lung injury, transfusion related.
1. Đặt vấn đề
Tổn thương phổi cấp do truyền máu (TRALI) được định nghĩa là suy hô hấp mới xuất hiện ngay sau khi truyền máu, thường trong vòng 6 giờ. Tuy nhiên một số bệnh nhân có thể xuất hiện TRALI muộn (delayed TRALI), suy hô hấp có thể tiến triển trong vòng 6 - 72 giờ. Trên thế giới, tỷ lệ mắc vào khoảng 0,04 - 0,1% số bệnh nhân truyền máu nói chung và khoảng 5 - 8% trong nhóm bệnh nhân hồi sức [9], [14]. Tính đến năm 2016, TRALI vẫn được coi là nguyên nhân hàng đầu gây ra tử vong liên quan đến truyền máu ở Hoa Kỳ [10], [15]. Tại Việt Nam cho đến nay, chưa có các nghiên cứu nào thống kê cụ thể, việc chẩn đoán và báo cáo về TRALI hiện chưa tương xứng với thực tế trên lâm sàng. Việc nâng cao nhận thức về những biến chứng của truyền máu trong đó có TRALI giúp chúng ta phát hiện sớm và xử trí kịp thời, hạn chế tỷ lệ tử vong do các biến chứng gây ra.
2. Trường hợp lâm sàng
Bệnh nhân nam 20 tuổi, tiền sử khỏe mạnh, bệnh viêm cột sống dính khớp tiến triển nhiều năm, dính khớp háng 2 bên dẫn tới biến dạng, mất khả năng đi lại. Bệnh nhân được phẫu thuật thay khớp háng ngày 8/11/2020 tại Bệnh viện Trung ương Quân đội (TWQĐ) 108. Trong và sau phẫu thuật, bệnh nhân được truyền máu 3 lần: Trong mổ 2 đơn vị hồng cầu khối và 2 đơn vị huyết tương, sau mổ ngày thứ nhất và thứ 2 sau mổ mỗi ngày 2 đơn vị hồng cầu khối. Sau truyền máu 12 giờ bệnh nhân xuất hiện khó thở, tăng dần, sau đó suy hô hấp, được chuyển Khoa Hồi sức tích cực ngày 11/11/2020 trong tình trạng: Ý thức kích thích vật vã do thiếu oxy, thở nhanh 45 lần/phút, phổi rale ẩm lan tỏa 2 phế trường, SpO2 78%, hỗ trợ oxy mask 8 lít/phút, mạch 125 chu kỳ/phút, huyết áp 140/90mmHg. Các cơ quan khác không phát hiện bất thường. Cấp cứu đặt ống nội khí quản, hút ra trong ống nhiều dịch lẫn bọt hồng, áp lực bình nguyên đường thở 32cmH2O.
Các xét nghiệm cận lâm sàng:
Khí máu động mạch: pH 7,31, PaO2: 69mmHg (FiO2 80%, tỷ lệ PaO2/FiO2 < 100), PaCO2: 57mmHg, lactate 1,0mmol/l, BE 1,7mmol/l.
Siêu âm phổi tại giường: Hình ảnh phù phổi cấp (B-line lan tỏa khắp 2 phổi), IVC 18mm, dịch màng phổi 2 bên ít.
Siêu âm tim: Dd 46mm, Ds 30mm, thất phải 19mm, áp lực động mạch phổi tâm thu 20mmHg, EF 65%, không có rối loạn vận động vùng.
Các xét nghiệm marker viêm: Bạch cầu: 7,91G/L, N: 77,5%, pro-calcitonin 0,438ng/ml.
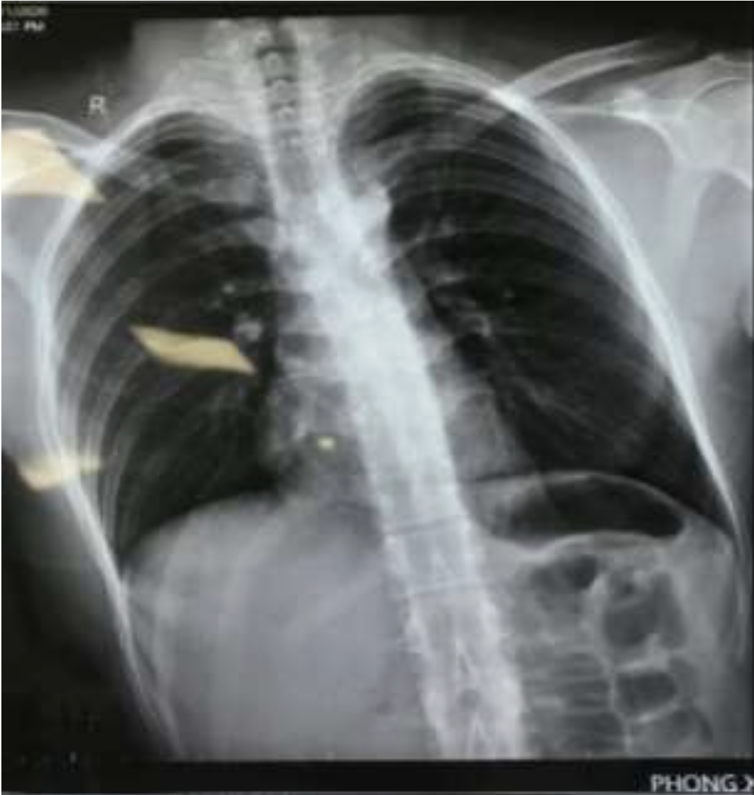
Hình ảnh X-quang ngực thẳng: Mờ lan tỏa 2 phế trường.
Các xét nghiệm vi sinh vật: Cấy dịch phế quản cho kết quả âm tính.
Về điều trị, bệnh nhân được thở máy với PEEP: 8, FiO2 80%, sau đó giảm dần FiO2 khi khí máu cải thiện. Thuốc dùng kết hợp bao gồm solumedrol 40mg tiêm tĩnh mạch mỗi 12 giờ, kháng sinh dự phòng viêm phổi do thở máy (Zobacta 4,5g mỗi 8 giờ), an thần và giãn cơ.
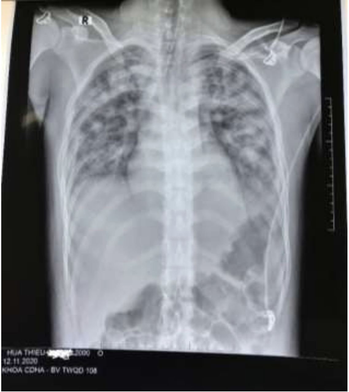
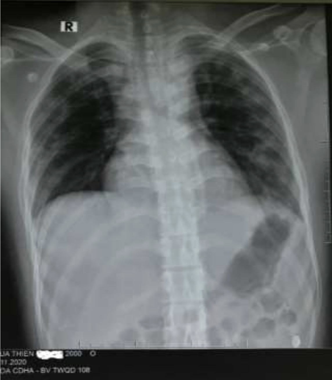
Kết quả điều trị, bệnh nhân rút ống nội khí quản sau 3 ngày, hình ảnh tổn thương trên X-quang và tình trạng hô hấp hồi phục gần như hoàn toàn.



3. Bàn luận
Ba thập kỷ trước, tổn thương phổi cấp do truyền máu (TRALI) được coi là một biến chứng hiếm gặp của truyền máu. Ngày nay, Cơ quan Quản lý Thực phẩm và Dược phẩm Mỹ (FDA) công nhận hội chứng này là nguyên nhân hàng đầu gây tử vong do truyền máu. Sự hiểu biết về sinh bệnh học của TRALI đã giúp xây dựng chiến lược phòng ngừa hiệu quả. Một bước đột phá quan trọng trong việc giảm tỷ lệ TRALI là loại trừ các người hiến máu nữ với sản phẩm có lượng huyết tương cao, dẫn đến giảm khoảng 2/3 tỷ lệ mắc bệnh. Trong vài năm gần đây, hiểu biết về bệnh nguyên, bệnh sinh của TRALI ngày càng được cải thiện, có nhiều giả thiết được đưa ra, tuy nhiên chỉ có một giả thuyết được chấp nhận rộng rãi.
Cơ chế bệnh sinh, nguyên nhân
Giả thuyết về cơ chế bệnh sinh được chấp nhận rộng rãi nhất của TRALI đó là giả thuyết cơ chế kép 2 cú đánh [1], [9].
Cú đánh thứ nhất: Sự cô lập bạch cầu trung tính và hiện tượng mồi trong vi mạch phổi, trong đó tổn thương nội mô là yếu tố kích hoạt. Bạch cầu trung tính chuyển dịch sang trạng thái dễ phản ứng với tín hiệu yếu hoặc một số yếu tố dường như vô hại. Tế bào nội mô được cho là nguyên nhân gây ra sự cô lập bạch cầu trung tính (thông qua các phần tử bám dính) và hiện tượng mồi (thông qua giải phóng cytokine). Nói chung những sự kiện này được kết hợp với nhau và tồn tại trước truyền máu, trường hợp ít là trong truyền máu.
Cú đánh thứ hai: Là sự kích hoạt bạch cầu trung tính người nhận bởi một yếu tố trong sản phẩm máu. Sự hoạt hóa có liên quan đến việc giải phóng cytokine, protease, oxydase từ bạch cầu trung tính, làm tổn thương nội mô mao mạch phổi. Tổn thương này gây ra phù phổi không do huyết động. Các yếu tố trong máu người cho gây hoạt hóa bạch cầu trung tính trong máu người nhận được nhắc đến đó là kháng thể chống lại kháng nguyên của người nhận và lipid hòa tan mang hoạt tính sinh học. Kháng thể kháng bạch cầu trong máu người cho có thể kết dính với kháng nguyên trên bạch cầu trung tính người nhận hoặc có thể với các tế bào khác như bạch cầu đơn nhân hoặc tế bào nội mô phổi. Khi hiện tượng này xảy ra, các tác giả gọi đó là TRALI miễn dịch. Lipid hòa tan mang hoạt tính sinh học và các phức hợp miễn dịch khác trong máu được truyền hoạt động như các chất điều chỉnh phản ứng sinh học (biological response modifiers - BRMs). TRALI gây ra do BRM chứ không phải là do kháng thể được gọi là TRALI không miễn dịch. Tỷ lệ TRALI gây ra do kháng thể so với do BRM vẫn chưa được xác định và có khả năng thay đổi tùy theo loại chế phẩm được truyền, với các cơ chế qua trung gian kháng thể giải thích phần lớn các trường hợp do huyết tương và đáp ứng BRM không miễn dịch chịu trách nhiệm cho hầu hết các trường hợp do truyền hồng cầu [8].
Sự hoạt hóa bạch cầu trung tính được quan sát thấy trên động vật thực nghiệm với TRALI. Giảm bạch cầu thoáng qua dấu hiệu của sự cô lập bạch cầu trong phổi đã được thấy ở những bệnh nhân trong giai đoạn đầu của TRALI, trong khi TRALI hiếm khi thấy ở bệnh nhân giảm bạch cầu trung tính. Giải phẫu bệnh học phổi trong vòng hai giờ kể từ khi TRALI khởi phát cho thấy tập trung bạch cầu trung tính trong mao mạch phổi liên quan đến phù nề viêm và tổn thương nội mô [4], [10].
Nhiều cơ chế kích hoạt bạch cầu trung tính trong TRALI đã được đề xuất. Ví dụ, kháng thể đối với kháng nguyên bạch cầu người (HLA) Lớp I và kháng nguyên bạch cầu trung tính ở người (HNA) có thể gắn với bạch cầu trung tính của người nhận và kích hoạt chúng. Người cho là nữ giới tiếp xúc với chất gây dị ứng của bào thai trong khi mang thai, có tỷ lệ kháng thể kháng HLA cao hơn nhiều so với nam giới. Các kháng thể chống lại HNA 3a có liên quan đến một số ca TRALI nặng hoặc tử vong [5].
TRALI cũng có thể liên quan với các kháng thể của người cho chống lại HLA lớp II, chủ yếu biểu hiện trên các tế bào trình diện kháng nguyên. Các kháng thể này gắn với HLA loại II trên bạch cầu đơn nhân, gây ra giải phóng các cytokine gây kích hoạt bạch cầu trung tính mồi [12].
Tác nhân của cú đánh thứ hai để kích hoạt bạch cầu trung tính thường là BRM chứ không phải là kháng thể. BRM được cho là có thể kích hoạt trực tiếp bạch cầu trung tính. Hầu hết các nghiên cứu liên quan đến các chất này được thực hiện ở phòng thí nghiệm trên động vật, và có liên quan đến lysophosphatidylcholine (từ bạch cầu và tiểu cầu), lipid trung tính (nguồn gốc từ sự phân hủy của màng tế bào hồng cầu), ceramide và phối tử CD40 hòa tan (tích tụ trong khối tiểu cầu được lưu trữ) trong hoạt hóa bạch cầu trung tính [2].
Chẩn đoán và chẩn đoán phân biệt
Biểu hiện lâm sàng đặc trưng của TRALI là khởi phát đột ngột giảm oxy máu trong hoặc ngay sau khi truyền một sản phẩm máu. Các triệu chứng được thống kê trong một nghiên cứu gần đây của tác giả Van Stein và cộng sự năm 2010 kèm theo tần suất xuất hiện như sau [13]: Giảm oxy hóa máu (100%), thâm nhiễm phổi trên X-quang phổi (100%), bọt hồng qua ống nội khí quản (56%), sốt (33%), hạ huyết áp (32%), tím tái (25%).
Một số triệu chứng có thể gặp: Thở nhanh, nhịp tim nhanh và áp lực cao nguyên đường thở cao (Pplateau), giảm cấp tính, thoáng qua về số lượng bạch cầu trung tính ngoại vi (do cô lập một số lượng lớn bạch cầu trung tính trong phổi).
Chẩn đoán TRALI là một chẩn đoán lâm sàng, dựa trên tiêu chuẩn của CCC (Canadian consensus conference) [6] như sau:
Khởi phát đột ngột sau truyền máu.
Suy hô hấp (P/F < 300 hoặc SpO2 < 90% trong điều kiện khí phòng).
Thâm nhiễm lan tỏa cả 2 phế trường.
Không có bằng chứng của quá tải dịch, tăng áp lực động mạch phổi.
Không có ARDS, ALI trước khi truyền máu.
Trên trường hợp bệnh lâm sàng này có hầu hết các triệu chứng trên, khá điển hình. Để chẩn đoán TRALI, cần phân biệt với một số tình trạng bệnh lý sau:
Quá tải tuần hoàn do truyền máu (TACO – transfusion-related circulatory overload), hay gặp ở bệnh nhân cao tuổi và trẻ nhỏ, bệnh nền suy tim, suy thận nặng. Nguyên nhân chủ yếu là phù phổi huyết động do quá tải dịch, cụ thể ở đây là máu. Tuy nhiên trong một số trường hợp rất khó phân biệt do thường có sự giao thoa của 2 hội chứng này. Trường hợp bệnh lâm sàng này bệnh nhân hoàn toàn khỏe mạnh không có tiền sử bệnh lý tim mạch, số lượng máu, dịch truyền không nhiều (chỉ 01 đơn vị hồng cầu khối và 1000ml dịch truyền trong 1 ngày điều trị). Tuy nhiên, áp lực động mạch phổi thì tâm thu của bệnh nhân có tăng nhẹ (20mmHg). Rõ ràng là có sự giao thoa giữa 2 hội chứng ở bệnh nhân này. Sau đây là bảng so sánh một vài đặc điểm khác nhau nổi bật giữa 2 hội chứng TRALI và TACO:

Ngoài ra, các phản ứng truyền máu tan máu cũng có thể gây suy hô hấp. Tuy nhiên, thường kèm tiểu đỏ, Coombs dương tính. Hai triệu chứng điển hình đều không xuất hiện ở trường hợp bệnh này.
Sốc phản vệ là một nguyên nhân cần chẩn đoán phân biệt, phản vệ có thể gây suy hô hấp, nhưng bệnh cảnh khởi phát thường là co thắt thanh quản, co thắt phế quản, buồn nôn hoặc nôn, ban dị ứng ngoài da.
Nhiễm trùng máu, nhiễm khuẩn phổi: Thường gây ra đến suy hô hấp, sốt và hạ huyết áp. Tuy nhiên, thường có bằng chứng của nhiễm khuẩn đang hoạt động (tăng bạch cầu, sốt, các biomarker viêm tăng cao) từ trước đó. Bệnh nhân này không có sốt và các marker viêm trong giới hạn bình thường (WBC: 7,91G/L, N: 77,5%, pro-calcitonin 0,438ng/ml).
Điều trị
Nếu nghi ngờ TRALI, dừng truyền máu ngay lập tức, thông báo cho ngân hàng máu và bắt đầu đánh giá phản ứng truyền máu [10].
Hỗ trợ hô hấp: Điều trị suy hô hấp nhẹ bằng thở oxy kính, oxy mask, hoặc thở không xâm nhập áp lực dương. Trong những trường hợp tổn thương phổi nặng cần đặt ống nội khí quản thở máy để đảm bảo oxy hóa máu.
Chiến thuật thở máy: Hiện chưa có nghiên cứu riêng biệt nào về chiến thuật thở máy ở bệnh nhân TRALI. Nhóm bệnh nhân này sử dụng chiến thuật tương tự những bệnh nhân ARDS khác: PEEP được dùng để đảm bảo oxy hóa máu và hạn chế tình trạng xẹp phổi do đóng mở phế nang lặp lại.
Hỗ trợ huyết động: Bệnh nhân TRALI thường có biểu hiện giảm thể tích tuần hoàn và hạ huyết áp kèm theo. Mục tiêu là đảm bảo tưới máu mô. Điều này có thể đạt được nhờ hồi sức dịch kết hợp thuốc vận mạch.
Steroid: Corticosteroid tiêm tĩnh mạch đã được nghiên cứu rộng rãi trong điều trị TRALI. Cá biệt có một số nghiên cứu cho thấy kết quả khả quan. Tuy nhiên, mức độ bằng chứng là chưa thuyết phục. Do đó, không khuyến khích sử dụng thường quy corticosteroid khi nghi ngờ TRALI. Bên cạnh đó, có những bằng chứng cho thấy tác hại khi dùng corticosteroid ở giai đoạn muộn 14 ngày sau khi khởi phát. Trường hợp bệnh này ở giai đoạn sớm của bệnh do đó corticosteroid còn có hiệu quả.
Những bệnh nhân hồi phục sau TRALI không có tăng nguy cơ biến cố khi truyền chế phẩm máu từ người cho khác. Tuy nhiên, nên hạn chế các chế phẩm máu từ người cho có liên quan tới TRALI.
Về tiên lượng, người bệnh TRALI thường diễn biến nhanh, suy hô hấp sau 24 - 48 giờ truyền máu. Thời gian thở máy trung bình là từ 3 - 10 ngày. Tuy nhiên hầu hết bệnh nhân sống sót phục hồi hoàn toàn sau điều trị [8]. Tỷ lệ tử vong: 5 - 8% hoặc 13 - 21% tùy từng báo cáo [2], [7], [12].
Dự phòng: Mỗi trường hợp bệnh như vậy nên được báo cáo với ngân hàng máu. Việc cần làm tiếp theo đó là tầm soát những người hiến máu có liên quan để phát hiện kháng nguyên chống bạch cầu người (HLA và HNA) có trong máu người cho, cũng như hạn chế lấy máu từ người cho này. Ngoài ra, việc hạn chế lấy máu từ người cho là phụ nữ mang thai nhiều lần cũng làm giảm đáng kể tỷ lệ tai biến trong truyền máu ở châu Âu và Mỹ từ cuối những năm 2000 cho tới nay [3].
4. Kết luận
Tổn thương phổi cấp do truyền máu, tuy tỷ lệ gặp không cao nhưng thường có bệnh cảnh lâm sàng nặng, suy hô hấp nghiêm trọng, và đồng thời dễ bị bỏ sót trong chẩn đoán nguyên nhân. Trong thực hành lâm sàng, cần lưu ý đến khả năng xuất hiện TRALI ở các bệnh nhân truyền máu nhằm chẩn đoán và xử trí sớm tình trạng này. Khi có chẩn đoán đúng, việc điều trị thường đem lại kết quả tốt, bệnh nhân phục hồi nhanh và không để lại di chứng.
Tài liệu tham khảo
Bux J (2005) Transfusion-related acute lung injury (TRALI): A serious adverse event of blood transfusion. Vox Sang 89(1): 1-10.
Bux J, Sachs UJ (2007) The pathogenesis of transfusion-related acute lung injury (TRALI). Br J Haematol 136(6): 788-799.
Chapman CE, Stainsby D, Jones H et al (2009) Ten years of hemovigilance reports of transfusion-related acute lung injury in the United Kingdom and the impact of preferential use of male donor plasma. Transfusion 49(3): 440-452.
Fung YL, Silliman CC (2009) The role of neutrophils in the pathogenesis of transfusion-related acute lung injury. Transfus Med Rev 23(4): 266-283.
Jutzi M, Levy G, Taleghani BM (2008) Swiss haemovigilance data and implementation of measures for the prevention of transfusion associated acute lung injury (TRALI). Transfus Med Hemother 35(2): 98-101.
Kleinman S, Caulfield T, Chan P et al (2004) Toward an understanding of transfusion-related acute lung injury: statement of a consensus panel. Transfusion 44(12): 1774-1789.
Kopko PM, Marshall CS, MacKenzie MR et al (2002) Transfusion-related acute lung injury: Report of a clinical look-back investigation. Jama 287(15): 1968-1971.
Nicolle AL, Chapman CE, Carter V et al (2004) Transfusion-related acute lung injury caused by two donors with anti-human leucocyte antigen class II antibodies: A look-back investigation. Transfus Med 14(3): 225-30.
Silliman CC, Boshkov LK, Mehdizadehkashi Z et al (2003) Transfusion-related acute lung injury: epidemiology and a prospective analysis of etiologic factors. Blood 101(2): 454-462.
Silliman CC, Kelher MR, Khan SY et al (2014) Experimental prestorage filtration removes antibodies and decreases lipids in RBC supernatants mitigating TRALI in vivo. Blood 123(22): 3488-3495.
Skeate RC, Eastlund T (2007) Distinguishing between transfusion related acute lung injury and transfusion associated circulatory overload. Curr Opin Hematol 14(6): 682-687.
Toy P, Hollis-Perry KM, Jun J et al (2004) Recipients of blood from a donor with multiple HLA antibodies: A lookback study of transfusion-related acute lung injury. Transfusion 44(12): 1683-1688.
Stein D, Beckers EA, Sintnicolaas K et al (2010) Transfusion-related acute lung injury reports in the Netherlands: An observational study. Transfusion 50(1): 213-220.
Vlaar AP, Binnekade JM, Prins D et al (2010) Risk factors and outcome of transfusion-related acute lung injury in the critically ill: A nested case-control study. Crit Care Med 38(3): 771-778.
Otrock ZK, Liu C, Grossman BJ (2017) Transfusion-related acute lung injury risk mitigation. An update. 112(8): 694-703.












